Anidar casos especiales
¿Hay directrices de anidamiento avanzadas? ¿Existen consejos para el anidamiento? ¿Cómo manejar objetos difíciles o inusuales? Taladros y cavidades no correctos: ¿cómo resolverlo?
Mientras usted puede anidar la mayoría de los objetos tan fácilmente como se describe en el artículo de ayuda general acerca del anidamiento, hay algunos objetos donde puede resultar un poco más complicado. En este artículo de ayuda hemos recopilado algunos casos especiales y describimos cómo manejarlos con facilidad.
Tenemos previsto actualizar regularmente este artículo de ayuda.
En el presente artículo de ayuda suponemos que conoce todas las funciones de la(s) vista(s) de anidamiento. Por este motivo nuestras instrucciones son breves y solo cubren las características de los casos descritos.

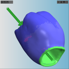
Algunas coronas sobre implante tienen un taladro en el interior de su cavidad.
Especifiquemos el área de taladrado y marquemos la cavidad:
- Al importar el objeto, desactive la función de búsqueda automática de cavidades y taladros.
- Abra la función de edición para especificar el área de taladrado del objeto.
- Coloque los puntos de medición para un extremo del taladro (en la siguiente figura, en el lado basal).
- Dibuje el área de taladrado ligeramente más grande que el taladro.
- Compruebe que el área de taladrado sea apropiada y guarde los cambios en caso afirmativo.
- Repita los pasos 3-5 para el lado oclusal.
- Usted ha especificado correctamente las áreas de taladrado para el objeto.
- Abra la función de edición para marcar las cavidades para el objeto.
- Marque la cavidad de la forma habitual.
- Compruebe que la cavidad es apropiada y guarde los cambios en caso de que lo sea.
- Usted ha especificado satisfactoriamente las áreas de taladrado y ha marcado la cavidad para el objeto.


El tamaño del área de taladrado es bueno (figura izquierda) y también los es el resultado para el lado basal (figura derecha)


Marcar la cavidad de la manera habitual (figura izquierda) de modo que el programa la reconozca correctamente (figura derecha)