Spezialfälle nesten
Gibt es erweiterte Nesting-Richtlinien? Gibt es Tipps fürs Neste? Wie handhabe ich schwierige oder ungewöhnliche Arbeiten? Bohrungen und Kavitäten sind nicht richtig – wie behebe ich das?
Während Sie die meisten Arbeiten so einfach nesten können wie im allgemeinen Hilfeartikel zum Nesten beschrieben, gibt es einige Arbeiten, wo es etwas knifflig werden kann. In diesem Hilfeartikel haben wir einige Spezialfälle zusammengestellt und beschrieben, wie Sie diese mit Leichtigkeit handhaben.
Wir haben vor, diesen Hilfeartikel regelmäßig zu aktualisieren.
In diesem Hilfeartikel gehen wir davon aus, dass Sie jede Funktion der Nesting-Ansicht(en) kennen. Deshalb sind unsere Anleitungstexte kurz und decken nur die charakteristischen Aspekte der beschriebenen Fälle ab.
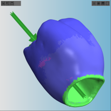
Einige implantatgetragene Kronen haben eine Bohrung in ihrer Kavität.
Lassen Sie uns den Bohrbereich festlegen und die Kavität markieren:
- Wenn Sie die Arbeit importieren, deaktivieren Sie die automatische Suche nach Kavitäten und Bohrungen.
- Öffnen Sie die Bearbeitungsfunktion für das Festlegen des Bohrbereichs für die Arbeit.
- Setzen Sie die Messpunkte für das eine Ende der Bohrung (in der folgenden Abbildung auf der basalen Seite).
- Zeichnen Sie den Bohrungsbereich etwas größer als die Bohrung.
- Stellen Sie sicher, dass der Bohrungsbereich in Ordnung ist und speichern Sie in dem Fall Ihre Änderungen.
- Wiederholen Sie die Schritte 3 – 5 für die okklusale Seite.
- Sie haben den Bohrbereich für die Arbeit erfolgreich festgelegt.
- Öffnen Sie die Bearbeitungsfunktion für das Markieren der Kavitäten für die Arbeit.
- Markieren Sie die Kavität wie gewohnt.
- Stellen Sie sicher, dass die Kavität in Ordnung ist und speichern Sie in dem Fall Ihre Änderungen.
- Sie haben für die Arbeit erfolgreich den Bohrbereich festgelegt und die Kavität markiert.
Die Größe der Bohrung ist in Ordnung (linke Abbildung), genauso wie das Ergebnis für die basale Seite (rechte Abbildung)
Die Kavität wie gewohnt markieren (linke Abbildung), sodass das Programm diese korrekt erkennt (rechte Abbildung)